
近日,由国家心血管病专家委员会血管外科专业委员会、四川大学华西医院等主办的第二届“天府大血管大会”在成都举行。受大会组委会邀请,我院心脏血管外科团队现场直播演示了3台复杂的主动脉手术,得到全国心血管同道的称赞与肯定。该会议每年举办一次,是国内心血管领域最具权威性和代表性的学术交流平台之一。

在院领导的支持以及麻醉科、手术室、导管室、输血科等科室的协作下,我院心脏血管外科团队全体动员,各项准备工作有条不紊展开,从手术病例的选择、直播设备及网络的安装和调试、手术医师以及直播人员安排,科室都做了周密准备。经过精挑细选,3例各有特色且具代表性的复杂主动脉病例入选。
当日上午,待患者麻醉成功后,手术演示直播正式开始。在DSA复合手术室,侯五辉主治医师进行病例汇报:患者A型夹层术后8年,远端胸腹夹层动脉瘤形成,拟行“腹主动脉置换+内脏去分支+胸腹主动脉腔内隔绝术”。手术由我院心外科负责人赵永波主刀,龚琪副主任医师、要凯主治医师、李超主治医师共同参与,术中夹层动脉瘤与周围组织粘连严重,可能出现大出血危及生命。手术团队运用高超娴熟的技巧,密切配合、攻克难关,顺利完成开放手术腹主动脉置换及腹腔脏器血管重建,随后进行腔内修复手术。该手术充分展现了我院心脏血管外科团队“两栖作战”的复合手术能力,得到国内专家的一致好评。


同期,另一台“升主动脉置换+全主动脉弓置换+胸主动脉覆膜支架腔内隔绝术”正在开展,该病例为一名A型主动脉夹层患者。在主动脉弓及分支成功游离且心脏停跳后,心外科负责人赵永波“转场”为患者完成了血管置换,心脏复跳成功,止血彻底。随后,谈凌凌主治医师、侯五辉主治医师为患者进行胸主动脉腔内修复。下午2点左右,两台手术成功结束。通过现场视频直播,在手术同时,手术人员与大会现场的专家们就影像评估、手术策略、手术器械的选择及操作技巧等多个环节进行了互动讨论,学术气氛热烈,大会主席及与会代表给予我院高度评价。紧接着,手术团队又为一名79岁腹主动脉瘤患者进行了腹主动脉腔内修复手术,效果良好,同样受到与会专家的好评。

全主动脉弓置换

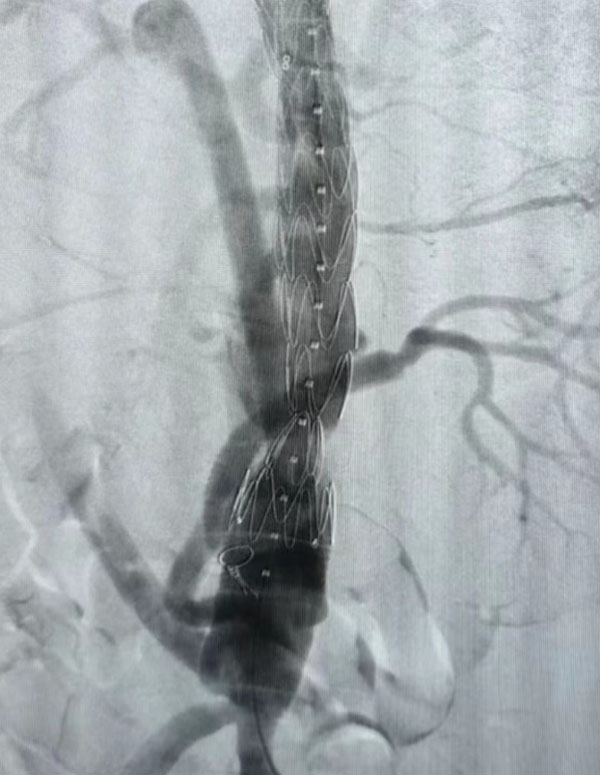
腹主动脉腔内隔绝
本次手术直播,充分展现了我院心脏血管外科团队高超的技术水平和治疗能力,获得了业内同仁的重点关注,标志着科室的学术影响力正向全国辐射。手术团队表示,将始终坚持以患者为中心,追求技术创新,通过开展更多新术式带来新福祉,不断提高疾病的诊疗水平和医疗服务质量,为医院的高质量发展做出更大贡献。
心外科